Noticias de Cantabria
Coronavirus 19-05-2020 07:30

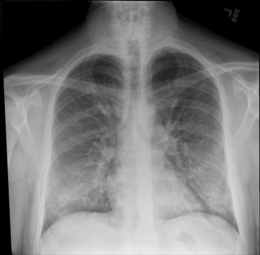
Radiografías de tórax en urgencias pueden ayudar a predecir la gravedad del COVID-19 en adultos

Las radiografías de tórax realizadas en adultos jóvenes y de mediana edad con covid-19 cuando llegan a urgencias pueden ayudar a los médicos a predecir quién tiene un mayor riesgo de enfermedad grave e intubación, informan los investigadores del Mount Sinai en el primer estudio de este tipo, que publica la revista `Radiology`.

   La investigación identifica qué pacientes pueden necesitar ser hospitalizados e intubados en función de la gravedad de los patrones de coronavirus en los pulmones observados en las radiografías, utilizando un sistema de puntuación único para evaluar la gravedad Los resultados podrían ayudar a los médicos a identificar, clasificar y tratar a estos pacientes de alto riesgo más rápidamente.

   "Este es el primer estudio que analiza cómo podemos usar las radiografías de tórax de la sala de emergencias para predecir qué tan enfermos se enfermarán los pacientes con covid-19. Demostramos lo valiosas que pueden ser las radiografías durante esta pandemia porque, al evaluar la enfermedad en diferentes porciones de los pulmones, podemos predecir los resultados, lo que potencialmente puede ayudar a asignar recursos de manera adecuada y acelerar el tratamiento en los casos más graves", dice la primera autora Danielle Toussie, residente en el Departamento de Radiología de la Escuela de Medicina Icahn en Mount Sinai.

   "Se nos ocurrió el sistema de puntuación porque los médicos nos preguntaron qué vemos en las radiografías de tórax de pacientes con covid-19", explica la doctora Toussie.

   "Les decíamos: \'Vemos esta opacidad aquí o esa opacidad allá\', pero luego preguntaban: \'¿Qué significa eso para mi paciente?\' Eso es lo que nos propusimos descubrir, y comenzamos a notar que, si bien la mayoría de los pacientes tenían enfermedad solo en los lóbulos inferiores, los pacientes que tenían múltiples áreas de enfermedad, o enfermedad en los lóbulos superiores, parecían estar peor, por lo que ideamos un forma de dividir los pulmones, puntuarlos según la gravedad de la enfermedad y correlacionar eso con lo que realmente les sucedió a los pacientes a medida que la enfermedad progresó o se resolvió", relata.

   Un equipo de radiólogos analizó los registros de 338 pacientes con covid-19 positivos en el Hospital Mount Sinai, Mount Sinai Queens y Mount Sinai Brooklyn entre el 10 y el 26 de marzo. Los pacientes tenían entre 21 y 50 años (edad promedio 39) y 62 por ciento eran hombres. Los investigadores tuvieron acceso a información que incluía condiciones raciales y preexistentes como asma, diabetes, hipertensión, VIH y obesidad. A todos los pacientes se les tomó una radiografía en la sala de emergencias.

   Los investigadores se centraron en la radiografía de tórax de cada paciente para examinar los patrones de coronavirus en sus pulmones, observando las opacidades (marcas circulares blancas asociadas con COVID) y dónde estaban esos patrones.

   Dividieron los rayos X en seis zonas (superior derecha, superior izquierda, media derecha, media izquierda, inferior derecha e inferior izquierda) y desarrollaron un sistema de puntuación de cero a seis para cuantificar la gravedad. La puntuación total dependía de cuántas zonas aparecían enfermedades. La puntuación de gravedad más baja variaba de cero a dos, y la más alta, de tres a seis.

   De los 338 pacientes, 145 fueron ingresados. Los pacientes con puntuaciones más altas de radiografías de tórax tenían 6,2 veces más probabilidades de requerir hospitalización y 4,7 veces más probabilidades de ser intubardos.

   Los hombres eran más propensos que las mujeres a tener puntuaciones más altas de radiografías de tórax y ser admitidos, pero no eran más propensos a ser intubados. Los pacientes obesos también eran más propensos a tener puntuaciones más altas de radiografías de tórax y requieren hospitalización.

   El análisis continuó para mostrar que los pacientes en Mount Sinai Queens tenían más probabilidades de tener una enfermedad más grave y requieren intubación en comparación con los pacientes en Manhattan o Brooklyn. A pesar de informes anteriores que describen peores resultados en afroamericanos y latinos, este estudio no mostró diferencias significativas en los resultados entre pacientes de diferentes razas y etnias cuando se ajustó a otros factores como la edad, el sexo, las afecciones médicas concomitantes y el peso.

   "Este estudio proporciona una visión particular de cómo algunos de los grupos demográficos más jóvenes, que todavía representan una proporción considerable de los afectados por el virus, pueden tener éxito al presentarse en la sala de emergencias, lo que permite la movilización eficiente de los medios de tratamiento disponibles", dice el coautor Yogesh Sean Gupta, Profesor Asociado de Radiología Diagnóstica, Molecular e Intervencionista en la Escuela de Medicina Icahn en Mount Sinai.

   "Estos hallazgos subrayan cómo el covid-19, a pesar de sus muchas manifestaciones, es en gran medida una enfermedad respiratoria y los cambios pulmonares identificables en la radiografía son un predictor primario de la progresión de la enfermedad", agrega el autor principal Adam Bernheim, profesor asistente de Diagnóstico, Radiología Molecular e Intervencionista en la Escuela de Medicina Icahn en Mount Sinai.

   "Este trabajo es fundamental para demostrar el papel de la radiología no solo en el diagnóstico, sino también en la predicción, el triaje y la estratificación del riesgo de los pacientes con covid-19 --continúa--, de modo que aquellos con mayor riesgo de enfermedad grave puedan ser identificados inmediatamente desde el momento mismo de la primera radiografía de tórax en urgencias".

   Los radiólogos cardiotorácicos en Mount Sinai han implementado este sistema de puntuación en la práctica clínica, ayudando a los médicos de emergencias a clasificar a los pacientes en consecuencia.

Sé el primero en comentar